Tất cả đều cần đến ý kiến tư vấn của các bác sĩ chuyên khoa bởi chúng nghiêm trọng với mắt hoặc toàn thân. Một số có thể tồn tại hoặc tái phát sau khi mang thai. Vì vậy, cần đảm bảo các thai phụ này được theo dõi chặt chẽ tại chuyên khoa mắt và khi thích hợp nên phối hợp với các chuyên gia nội tiết, sản khoa.
Tiền sản giật và sản giật
Tiền sản giật là một dạng bệnh lý co thắt mạch máu gây tăng huyết áp kèm theo rối loạn chức năng các cơ quan đích hoặc thoát protein niệu. Sản giật là biểu hiện của các cơn co giật ở bệnh nhân bị tiền sản giật.
Biến chứng mắt xảy ra trên 25% đến 33% phụ nữ bị tiền sản giật và 50% ở những người bị sản giật. Các biểu hiện ở mắt của tiền sản giật hoặc sản giật có thể là mờ mắt, ám điểm, chứng sợ ánh sáng, rối loạn sắc giác, nhìn đôi, mất thị lực hai bên thoáng qua và mù vỏ não. Hầu hết những thay đổi thị giác này có thể đảo ngược và hồi phục trong thời kỳ hậu sản.
Bệnh võng mạc thai nghén
Phát hiện ở mắt phổ biến nhất trong tiền sản giật hoặc sản giật. Loại bệnh võng mạc này thường có biểu hiện hẹp khu trú tại các tiểu động mạch võng mạc, gây phù võng mạc, xuất tiết và xuất huyết. Đôi khi gây nhồi máu trong lớp sợi thần kinh và xuất huyết dịch kính thứ phát do tân mạch hiện. Các trường hợp nặng có thể biểu hiện phù võng mạc, bong võng mạc xuất tiết nghiêm trọng, phù gai thị và bệnh lý thần kinh thị giác do thiếu máu cục bộ cấp tính. Nói chung, mức độ nghiêm trọng của tiền sản giật quyết định mức độ bệnh lý võng mạc.
Mù vỏ não
Một biến chứng mắt khác của tiền sản giật nặng hoặc sản giật là mù vỏ não, xảy ra ở 1% đến 15% trường hợp. Mất thị lực thường xảy ra trong bối cảnh khám mắt thông thường và phản ứng đồng tử còn. Người ta đưa ra giả thuyết rằng co thắt mạch dẫn đến thiếu máu cục bộ thoáng qua, phù và nhiễm độc tế bào và mất thị lực thoáng qua. Mặc dù hầu hết các trường hợp mù vỏ não đều được giải quyết ổn thỏa nhưng các khiếm khuyết thị trường vẫn có thể vẫn tồn tại. Biến chứng này có thể xảy ra cả trước và sau khi sinh và thường đi kèm với đau đầu, tăng phản xạ và liệt.
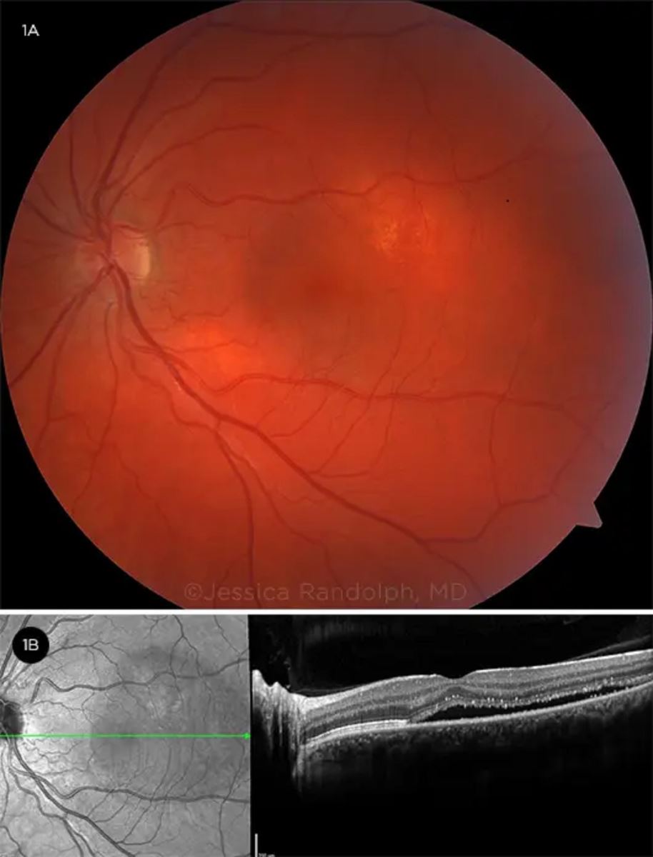
Bệnh hắc võng mạc trung tâm thanh dịch (CSC)
Tỷ lệ chung hàng năm của bệnh hắc võng mạc trung tâm thanh dịch (CSC) được ước tính là 0,01%. Đối với phụ nữ mang thai, con số này giảm xuống 0,008%. CSC trong thai kỳ xảy ra thường xuyên nhất trong quí III của thai kỳ. Những bệnh nhân này thường có biểu hiện giảm thị lực, ám điểm trung tâm, đồng tử chậm phục hồi sau khi bị chiếu sáng , nhìn biến dạng và mất thị lực màu bão hòa.
Sinh lý bệnh chính xác là không rõ. Tuy nhiên, người ta đưa ra giả thuyết rằng bệnh lý mạch máu hắc mạc và sự chuyển ion bất thường qua biểu mô sắc tố võng mạc dẫn đến thoát huyết thanh và tiết dịch dưới võng mạc và bong biểu mô sắc tố võng mạc. OCT thường là phương thức chẩn đoán hình ảnh ưa chuộng. CSC thường tự khỏi khoảng ba tháng sau khi sinh, thậm chí không cần điều trị. Tuy nhiên, nó có thể tái phát ở cùng một mắt trong những lần mang thai tiếp theo.
|

|
|
Ảnh đáy mắt của một mắt bị CSC cho thấy dịch dưới võng mạc vùng hoàng điểm trên lâm sàng và ảnh chụp với OCT.
|
Bệnh lý tắc mạch
Mang thai được biết đến là một trạng thái tăng đông máu làm tăng nguy cơ mắc một số bệnh lý về mắt như tắc động mạch và tĩnh mạch võng mạc, trong đó tắc động mạch phổ biến hơn. Cả hai bệnh lý có thể xuất hiện dưới dạng mất thị lực một mắt, không đau nhức.
Bệnh võng mạc giống Purtscher
Thường có biểu hiện mất thị lực nghiêm trọng ở cả hai bên ngay sau khi sinh. Khám đáy mắt cho thấy các đốm xuất tiết dạng cục bông có hoặc không có xuất huyết trong võng mạc. Những thay đổi này có thể biến mất theo thời gian. Hiếm khi có bằng chứng tắc động mạch trung tâm hoặc nhánh võng mạc và tắc tĩnh mạch võng mạc. Bệnh võng mạc có liên quan đến tiền sản giật, chuyển dạ đẻ, viêm tụy và tắc mạch nước ối... Tất cả đều có thể gây tắc động mạch võng mạc.
Hội chứng kháng phospholipid (APS).
APS là tình trạng tăng đông máu có thể dẫn đến huyết khối động mạch và tĩnh mạch tái phát và sảy thai nhiều lần. Các biểu hiện ở mắt có thể liên quan đến cả phân đoạn trước và sau.
Sự tham gia của đoạn trước bao gồm viêm thượng củng mạc, giãn mao mạch kết mạc, vi phình mạch kết mạc và viêm mống mắt.
Tổn thương phân thùy sau bao gồm viêm dịch kính, xuất huyết võng mạc, bong võng mạc, CSC, đốm xuất tiết cục bông, viêm củng mạc sau, tắc nhánh và tĩnh mạch trung tâm võng mạc, tắc động mạch mi ngoài, ngoằn ngoèo tĩnh mạch và thậm chí nhồi máu hắc mạc hai bên. Đôi khi, bệnh nhân có biểu hiện mất thị lực thoáng qua (một mắt hoặc hai mắt), khiếm khuyết trường thị giác thoáng qua, teo dây thần kinh thị giác tiến triển, thiếu máu các dây thần kinh vận nhãn và bệnh lý thần kinh thị giác do thiếu máu cục bộ.
Đông máu nội mạch lan tỏa (DIC)
DIC là một rối loạn protein đông máu có thể liên quan đến các tình trạng khác nhau như viêm, nhiễm trùng và ung thư cũng như mang thai. Khi xảy ra trong thai kỳ, nó là thứ phát sau nhiều biến chứng sản khoa như thuyên tắc nước ối, tiền sản giật/sản giật, thai chết lưu, rau bong non, sảy thai nhiễm trùng, nhiễm trùng trong tử cung, bệnh gan nhiễm mỡ cấp tính của thai kỳ hoặc rau thai tiền đạo .
DIC thường ảnh hưởng đến hắc mạc. Tình trạng tăng đông máu này có thể hình thành cục máu đông trong hắc mạc và sau đó là sự phá vỡ biểu mô sắc tố võng mạc, dẫn đến sự phát triển của bong võng mạc thanh dịch.
Hội chứng Sheehan
Hội chứng Sheehan là hoại tử tuyến yên do thiếu máu cục bộ và phì đại tuyến yên thứ phát sau xuất huyết nặng sau sinh. Biểu hiện phổ biến bao gồm đau đầu đột ngột, giảm thị lực, khiếm khuyết thị trường và liệt vận nhãn. Các khiếm khuyết thị trường biểu hiện bằng mất các trường góc phần tư vượt trội hai bên .
Chèn ép xoang hang dẫn đến chèn ép các dây thần kinh sọ III, IV và VI, có thể biểu hiện như sụp mi, nhìn đôi, lác xuống dưới của nhãn cầu và giãn đồng tử. Nếu hệ thần kinh giao cảm bị ảnh hưởng, hội chứng Horner cũng có thể xuất hiện. Cải thiện thị lực thường kém trong khi liệt vận nhãn cải thiện tốt sau sinh.
Tăng áp lực nội sọ vô căn
Tăng áp lực nội sọ vô căn (IIH) thường thấy nhất ở phụ nữ béo phì trong độ tuổi sinh đẻ. Thường xuất hiện trong quí đầu tiên của thai kỳ. IIH gây đau đầu cũng như một loạt các triệu chứng thị giác như song thị, khiếm khuyết thị trường, ám điểm, chứng sợ sáng, đau sau nhãn cầu và đau đầu theo nhịp mạch. Mặc dù khám đáy mắt cho thấy phù gai thị hai bên trong hầu hết các trường hợp, một số bệnh nhân có thể biểu hiện phù gai thị một bên hoặc không.
Chẩn đoán IIH là một trong những chẩn đoán loại trừ, được đặc trưng bởi áp lực nội sọ tăng cao, nhưng hình ảnh não bình thường, thành phần dịch não tủy và khám thần kinh cũng vậy. Nên điều trị tập trung vào việc giảm áp lực nội sọ và giảm cân sau sinh. Bệnh nhân mang thai có thể được điều trị bằng acetazolamide, can thiệp bao thần kinh thị giác, tạo shunt màng bụng vùng thắt lưng hoặc shunt não thất. Mặc dù acetazolamide cho thấy khả năng gây quái thai trong các nghiên cứu trên động vật nhưng các nghiên cứu gần đây trên phụ nữ mang thai cho thấy không có nguy cơ gia tăng đối với thai nhi hoặc người mẹ và nó có thể được coi là một cách điều trị. Không có sửa đổi hoặc giới hạn nào đối với phương pháp sinh nở nếu có chẩn đoán IIH và quyết định nên được đưa ra sau khi thống nhất giữa bệnh nhân và bác sĩ sản khoa.

TĂNG ÁP LỰC NỘI SỌ VÔ CĂN-IIH
Ảnh chụp đáy mắt cho thấy dây thần kinh thị giác bị phù, che khuất bờ gai.
Bệnh lý hốc mắt liên quan đến tuyến giáp
Graves là nguyên nhân phổ biến nhất của cường giáp trong thời kỳ mang thai. Bệnh thường biểu hiện là lồi mắt một bên hoặc hai bên, mí mắt trợn và liệt cơ vận nhãn. Bệnh Graves thường xảy ra nhất trong quí đầu của thai kỳ, sau đó thuyên giảm trong quí thứ hai và thứ ba. Mặc dù các trường hợp nhẹ thường được theo dõi bằng monitor nhưng các trường hợp từ trung bình đến nặng có thể cần điều trị bằng propylthiouracil. Teprotumumab bị chống chỉ định trong thời kỳ mang thai.
Khối u tuyến yên
Sự phát triển nhanh chóng của các khối u tuyến yên có sẵn trong thời kỳ mang thai rất có thể xảy ra do tác dụng sinh mạch của estrogen. Sự tăng trưởng này dẫn đến các triệu chứng choán chỗ nội sọ như bệnh lý dây thần kinh/đường thần kinh giao thoa thị giác do chèn ép. Biểu hiện phổ biến nhất là giảm thị lực, khiếm khuyết thị trường hai bên thái dương và nhìn đôi. Ở những bệnh nhân có u tuyến yên từ trước, cần kiểm tra thị trường và khám mắt hàng tháng để theo dõi sự phát triển của u tuyến yên.
Bs Hoàng Cương sưu tầm