Thức dậy với tình trạng giảm thị lực nghiêm trọng… 

Sau một đêm xem tin tức muộn, Donald Dunes, người đàn ông 79 tuổi có tiền sử tăng huyết áp và tăng lipid máu, đã ngủ thiếp đi mà không có bất kỳ sự cố nào nhưng lại thức dậy giữa đêm với tình trạng mất thị lực hoàn toàn không đau nhức ở mắt trái. Thị lực ở mắt phải của ông vẫn bình thường. Ông không bị đau mắt, không đau đầu hay yếu cơ và không có thêm khó chịu nào khác, chẳng hạn như nói lắp. Thầm nghĩ đó chỉ là một cơn ác mộng, ông lại ngủ tiếp.Khi thức dậy vào sáng hôm sau, mắt trái của anh vẫn không nhìn thấy gì. Đến ngày hôm sau nữa khi thị lực vẫn chưa cải thiện, ông đã gọi điện cho cấp cứu.

Điềutrịcấpcứu

Xe cứu thương đã đưa ông Dunes đến bệnh viện cộng đồng, nơi ông được chụp cắt lớp vi tính (CT- Scan) vùng đầu, kết quả không cho thấy xuất huyết cấp tính hay nhồi máu lớn, sau đó là chụp CT mạch máu não và cổ, kết quả cho thấy động mạch cảnh trong trái bị hẹp 80%-90% tại gốc động mạch. Ông cũng được làm điện tâm đồ, kết quả trong giới hạn bình thường. Sau đó, anh được chuyển đến ­khoa chăm sóc cấp cứu của bệnh viện, nơi ông được thăm khám bởi nhóm bác sĩ nhãn khoa trực cấp cứu.

Gócnhìntừphíabácsĩnhãnkhoa

Khi khám, thị lực không kính ở MP là 20/20, thị lực không hề hấn gì, nhưng mắt trái không còn cảm giác ánh sáng. Mắt trái bị tổn hại phản xạ đồng tử hướng tâm-RAPD 3+, và nhãn áp của bệnh nhân lần lượt là 12 mmHg và 9 mmHg ở mắt phải và mắt trái.

Khám bán phần trước mắt phải của bệnh nhân không phát hiện gì bất thường. Mắt trái, chúng tôi ghi nhận tình trạng tiêm 1+ và phù nề nhưng không thấy tân mạch mống mắt.

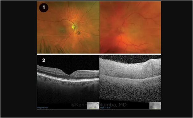
Khám đáy mắt phải giãn đồng tử bình thường nhưng mắt trái thấy đĩa thị nhạt màu, tiểu động mạch võng mạc mờ đục ­kèm theo hình hộp. Ghi nhận nhiều mảng xơ vữa nội mạch, võng mạc trắng ở cực sau không có hoàng điểm anh đào.

OCT hoàng điểm của mắt phải bình thường trong khi có phù võng mạc lan tỏa với bệnh lý hoàng điểm giữa cấp tính ở trung tâm mắt trái.

Nhãn áp thấp ở mắt trái (9 mm Hg), vì vậy bác sĩ mắt đã thực hiện massage mắt ngay lập tức để cố gắng loại bỏ bất kỳ cục máu đông nào cản trở lưu lượng máu đến võng mạc.

Vì bệnh nhân đến khám vài ngày sau khi mất thị lực nên không còn đủ điều kiện để dùng thuốc tiêu sợi huyết. Các bác sĩ cũng đã chỉ định chụp cộng hưởng từ (MRI) não và hốc mắt, cho thấy nhiều vùng khuếch tán hạn chế bất thường ở bán cầu não trái, bao gồm thùy trán trái, thùy đỉnh chẩm trái, thùy đuôi trái và hạch nền. Với tình trạng tắc nghẽn 80%-90% động mạch cảnh trong bên trái trên CTA, với các kết quả có khả năng phản ánh những thay đổi do tắc mạch, bệnh nhân đã được siêu âm tim. Siêu âm cho thấy phì đại đồng tâm nhẹ và chức năng tâm thu bình thường với phân suất tống máu ước tính 60%-65% và chức năng tâm trương bình thường.

Hình ảnh chụp MP (cột bêntrái) và MT (cột bên phải) của bệnh nhân. MT cho thấy võng mạc màu trắng (có hình ảnh phù nề rõ rệt trên OCT hoàng điểm), hình hộp với dòng máu phân đoạn trong các tiểu động mạch võng mạc. Không thấy mảng bám nội mạch trong mạch máu.

Chẩn đoán phân biệt

Do ông Dunes bị mất thị lực không đau nhức, các bác sĩ lo ngại về tình trạng thiếu máu cục bộ, chẳng hạn như tắc động mạch võng mạc trung tâm (CRAO) hoặc hội chứng thiếu máu cục bộ mắt.

CRAO là một tình trạng hiếm gặp dẫn đến mất thị lực không đau nhức. Tỷ ­lệ mắc bệnh ước tính từ 1- 2 ca trên 100.000 người mỗi năm, với tỷ lệ mắc bệnh cao hơn ở người lớn tuổi, đặc biệt là những người có yếu tố nguy cơ tim mạch. CRAO không ảnh hưởng đến tuần hoàn hắc mạch và hoàng điểm có màu đỏ anh đào do không có lớp sợi thần kinh bao phủ. Hội chứng thiếu máu cục bộ nhãn cầu do bệnh động mạch cảnh có thể biểu hiện bằng mất thị lực thoáng qua.Tuy nhiên, ông Dunes đã trải qua nhiều ngày không nhận thức được ánh sáng. Thêm nữa, võng mạc phù lan tỏa mà không có hoàng điểm anh đào và tình trạng phù võng mạc lại ở mức độ nặng hơn so với CRAO cổ điển. Do đó các bác sĩ mắt xem xét đến khả năng tắc động mạch mắt, bao gồm cả động mạch võng mạc và tình trạng không tưới máu của hắc mạc, điều này sẽ giải thích cho tình trạng không nhìn thấy ánh sáng và không có hoàng điểm anh đào do tình trạng không tưới máu hắc mạc.

Vì ông Dunes đã trên 50 tuổi, nên việc loại trừ viêm động mạch tế bào khổng lồ bằng cách đo tốc độ máu lắng (ESR), protein phản ứng C (CRP) và công thức máu toàn phần (CBC) có đếm tiểu cầu, tất cả đều âm tính, là rất quan trọng. Nếu ông Dunes dưới 50 tuổi, một xét nghiệm tăng đông máu bao gồm hội chứng kháng thể kháng phospholipid, các bệnh tự miễn và các rối loạn viêm sẽ được tiến hành.

Dựa trên biểu hiện lâm sàng, mất ­thị lực do cảm nhận ánh sáng, võng mạc trắng lan tỏa và phù nề, cả võng mạc và hắc mạc đều không  tưới máu và động mạch cảnh trong trái được thấy trên CTA, bệnh nhân đã được chẩn đoán  tắc động mạch mắt (OAO).

Theo dõi

Ông Dunes đã được khám tại ­khoa thần kinh ngay trong lần nhập viện đầu tiên và bắt đầu điều trị bằng liệu pháp kháng tiểu cầu kết hợp clopidogrel và aspirin. Ông đã được phẫu thuật cắt bỏ nội mạc động mạch cảnh 10 ngày sau phẫu thuật OAO. Ba tháng sau, thị lực của ông vẫn không thay đổi và ông đang được theo dõi chặt chẽ để phát hiện tình trạng tân mạch ở mống mắt, góc tiền phòng và võng mạc.

Bànluận

OAO là tình trạng cấp cứu đe dọa thị lực, trong đó dòng chảy động mạch bị gián đoạn ở gần nguồn gốc của cả động mạch võng mạc trung tâm và động mạch mi sau. Do đó đồng thời làm giảm khả năng tưới máu đến võng mạc và hắc mạc.

Không giống như CRAO đơn độc, OAO thường phản ánh tình trạng tắc nghẽn ở gần hơn, thường do bệnh động mạch cảnh, thuyên tắc tim hoặc cholesterol và mảnh vụn huyết khối trong ­xơ vữa động mạch hệ thống. Do động mạch mắt là nhánh chính đầu tiên của động mạch cảnh trong đoạn nội sọ, các hiện tượng tắc mạch bắt nguồn từ tim (ví dụ, huyết khối liên quan đến rung nhĩ) hoặc mảng xơ vữa động mạch lớn có thể tích tụ tại đây, làm tắc nghẽn lưu lượng máu đến cả tuần hoàn võng mạc và hắc mạc. Bệnh nhân thường mang sẵn các yếu tố nguy cơ mạch máu (tăng huyết áp, đái tháo đường và rối loạn lipid máu) khiến họ dễ bị hẹp động mạch, có vỡ mảng xơ vữa hoặc hình thành huyết khối.

Về mặt lâm sàng, OAO biểu hiện là mất thị lực đột ngột, không đau, có thể từ giảm thị lực nghiêm trọng đến mù hoàn toàn, thường chỉ trong vài phút. Soi đáy mắt thường cho thấy võng mạc nhợt nhạt, thiếu máu cục bộ với màu trắng đặc trưng, không có hoàng điểm anh đào, thường thấy ở bệnh nhân CRAO. Do cả động mạch võng mạc trung tâm và động mạch mi đều bị tắc nghẽn, mất thị lực ngoại vi có thể lan rộng hơn so với chỉ riêng CRAO đơn thuần và tưới máu bàng hệ gần như không có.

Tắc nghẽn động mạch mắt hoặc võng mạc ­cần được đánh giá khẩn cấp đối với tai biến mạch máu não tại trung tâm đột quỵ. Không có phương pháp điều trị nào được chứng minh là có thể đảo ngược tình trạng mất thị lực liên quan đến OAO hoặc CRAO sau khi giai đoạn cấp tính đã qua. Tuy nhiên, nếu bệnh nhân đến khám trong vòng 4-5 giờ sau khi bị CRAO, một thử nghiệm lâm sàng có triển vọng đã phát hiện ra rằng điều trị bằng Alteplase tĩnh mạch giúp phục hồi thị lực cho 44% bệnh nhân so với 13,1% ở những bệnh nhân không được điều trị bằng tiêm tĩnh mạch Alteplase. Nghiên cứu cũng phát hiện ra rằng việc điều trị có tương quan với sự cải thiện trung bình lớn hơn về thị lực. Trong một nghiên cứu khác, là một thử nghiệm có đối chứng ngẫu nhiên so sánh phương pháp tiêu sợi huyết trong động mạch với giả dược, các tác giả không khuyến cáo sử dụng chất hoạt hóa plasmogen tiêm vào động mạch (tPA) cho CRAO cấp tính là ­nguyên nhân gây xuất huyết nội sọ có triệu chứng đáng kể mà không có bằng chứng về lợi ích cho thị giác. Các phương pháp điều trị bảo tồn ­bao gồm mát-xa mắt, hạ nhãn áp bằng thuốc hoặc chọc dịch tiền phòng nhưng không có phương pháp nào trong số này được chứng minh là có hiệu quả. Liệu pháp oxy cao áp khẩn cấp có thể có tác dụng có lợi cho những bệnh nhân có triệu chứng kéo dài dưới 6-8 giờ nhưng vẫn chưa được chứng minh bằng một thử nghiệm lâm sàng ngẫu nhiên.

Bài học được rút ra là:

Trong OAO, lưu lượng máu đến cả tuần hoàn hắc mạc và võng mạc đều bị mất. Tương tự như bệnh nhân bị tắc động mạch võng mạc, thời gian là yếu tố then chốt, bệnh nhân OAO cần được cấp cứu khẩn cấp tại ­phòng cấp cứu để điều trị đột quỵ não.

Họ cần được theo dõi chặt chẽ với đội ngũ y tế chăm sóc ban đầu để giảm thiểu các yếu tố nguy cơ toàn thân. Bác sĩ nhãn khoa nên theo dõi các biến chứng do thiếu máu cục bộ võng mạc, chẳng hạn như tân mạch võng mạc và bệnh glocom tân mạch. Phương pháp điều trị bao gồm tiêm thuốc kháng VEGF ­và quang đông toàn võng mạc.

AAO- Education/ Neuro-ophthalmo/ Eva Devience, MD ; Benjamin I. Rubin, MD Kenneth Olumba, MD.Bệnhnhânđượcgắntêngiả

Bs Hoàng Cương biên tập

631 Go top