1. Đặt vấn đề:
Khi nói đến bệnh glôcôm gọi là bệnh hay trong dân gian thường gọi là bệnh thiên đầu thống là 1 bệnh rất nguy hiểm vì nó làm giảm và mất thị lực của người bệnh vĩnh viễn, không có khả năng hồi phục. do vậy, đối với những hình thái glôcôm mà có triệu chứng đau nhức mắt, nhức đầu thì người ta thường nghĩ đến bệnh glôcôm. Tuy nhiên, không phải hình thái glôcôm nào cũng có triệu chứng này, mà triệu chứng chủ yếu là nhìn mờ như glôcôm góc đóng mãn tính, glôcôm góc mở… khi khám bệnh mắt các bác sỹ thường thấy nhãn áp (NA) cao là triệu chứng rất thường gặp ở bệnh nhân glôcôm nói chung.
Glôcôm NA không cao là 1 hình thái đặc biệt của glôcôm góc mở, triệu chứng rất ít, không có đau nhức mắt, đau nhức đầu, nhãn áp không cao, triệu chứng cơ năng duy nhất là nhìn mờ, do vậy, chúng ta thường ít nghĩ đến bệnh glôcôm. Do vậy việc chẩn đoán bệnh glôcôm nhãn áp không cao thường rất khó khăn và được chẩn đoán muộn
Glôcôm nhãn áp không cao được mô tả lần đầu tiên bởi Albrecht Von Graefe vào năm 1857, là một hình thái glôcôm góc mở nguyên phát trong đó không có nhãn áp cao.
Theo quan điểm hiện nay thì glôcôm nhãn áp không cao không chỉ đơn thuần là bệnh lý của thị thần kinh trước mãn tính mà nó còn kết hợp sự bất thường của đĩa thị, dẫn đến thay đổi thị trường mà nhãn áp vẫn trong giới hạn bình thường. Như vậy sự khác nhau giữa glôcôm góc mở nguyên phát và glôcôm nhãn áp không cao là nhãn áp cao mà thôi.
2. Dịch tễ học:
Bệnh glôcôm nhãn áp không cao là bệnh của người già, đa số các bệnh nhân trên 50 tuổi. gặp ở nữ nhiều hơn nam.
Tỉ lệ glôcôm nhãn áp không cao rất khác nhau tùy thuộc vào từng tác giả
Theo nghiên cứu ở Anh thì glôcôm nhãn áp không cao chiếm 1/3 số bệnh nhân glôcôm góc mở
Nghiên cứu mới đây thực hiện ở miền bắc Italia thì tỉ lệ glôcôm góc mở nguyên phát ở những người sau 40 tuổi là 1,4%, trong đó 0,6% là glôcôm nhãn áp không cao, tức là chiếm 30%
3. Các yếu tố nguy cơ:
Yếu tố mạch máu:
Trong bệnh glôcôm nhãn áp không cao có nhiều yếu tố nguy cơ trong đó yếu tố được đề cập nhiều nhất là yếu tố mạch máu như cao huyết áp, bệnh đái tháo đường, huyết áp thấp vào ban đêm, những hội chứng gây co thắt mạch hội chứng migraine, hội chứng Raynaud…, gần đây có hội chứng hạ huyết áp khi ngủ.
-Tuổi: glôcôm nhãn áp không cao thường gặp ở tuổi cao, đặc biệt ở những người có những bệnh xơ hóa tuổi già.
giới: nữ nhay gặp hơn nam giới.
yếu tố gia đình: cũng như glôcôm khác,glôcôm nhãn áp không cao cũng co tính tính chất gia đình. Người ta cũng tìm thấy 1 số gen có lien quan đến bệnh.
chủng tộc: Glôcôm nhãn áp không cao gặp nhiều ở các nước châu Á, trong khi đó thì người da đen gặp glôcôm nhãn áp cao nhiều hơn, và Nhật Bản tỉ lệ bệnh gloocom nhãn áp không cao nhiều hơn các nước khác.
4.Chẩn đoán xác định:
4.1. Lâm sàng:
- Cũng như glôcôm nhãn áp cao,glôcôm nhãn áp không cao là 1 bệnh diễn biến không triệu chứng, trừ những trường hợp tổn hại thị trường muộn, tổn hại thị trường nhiều
- Hoàn cảnh phát hiện: rất ngẫu nhiên khi khám mắt hàng ngày hoặc khám sức khỏe định kỳ thấy lõm teo gai thị rộng trong khi đó nhãn áp trong giới hạn bình thường, khi đó cho làm các khám nghiệm khác thì thấy tổn hại của bệnh glôcôm
4.2. Sự thay đổi nhãn áp:
- Khi theo dõi bệnh nhân glôcôm nhãn áp không cao thì thấy sự dao động nhãn áp mà đỉnh dưới 21mmHg
- Người ta nhấn mạnh đến nhãn áp đích: là ngưỡng mà khi khi vượt quá ngưỡng này sẽ gây ra tổn hại thị thần kinh và tổn hại chức năng thị giác như thị lực và thị trường.
- Cần phải lập biểu đồ theo dõi sự thay đổi nhãn áp trong ngày để khẳng định cho sự chẩn đoán xác định glôcôm nhãn áp không cao. Tuy nhiên, trong thực tế việc này rất khó thực hiện.
- Hiện nay có thể theo dõi nhãn áp theo những giờ nhất định bằng cách sử dụng nhãn áp kế bút điện tử để theo dõi nhãn áp.
4.3. Gai thị:
- Tổn hại gai thị không có sự khác biệt với các loại glôcôm khác như tỉ lệ C/D lớn, tổn hại lớp viền thần kinh đĩa thị giác, thay đổi mạch máu của đĩa thị giác …
Tuy nhiên, trong glôcôm nhãn áp không cao tổn hại gai thị cũng có 1 số đặc điểm riêng:
- Lớp viền thần kinh quanh gai thị mỏng hơn so với glôcôm nhãn áp cao
- Lõm gai không quá sâu và lớp lá sàng ít bị đấy ra phía sau hơn.
- Hay gặp tổn hại viền thần kinh gai thị khu trú ở 1 vị trí kèm theo lõm gai thị sâu và thay đổi lớp lá sàng tạo thành hố gai thị mắc phải, 75% gặp ở glôcôm nhãn áp không cao so với 15% ở glôcôm nhãn áp cao.

Tổn hại gai thị
4.4. Các triệu chứng khác đi kèm:
- Một trong những dấu hiệu thường gặp nhất trong glôcôm nhãn áp không cao là teo võng mạc cạnh gai thị ( vùng α và vùng β), tuy nhiên dấu hiệu này không đặc hiệu cho glôcôm nhãn áp không cao .
- Xuất huyết gai thị: rất hay gặp trong glôcôm nhãn áp không cao.
- Tổn hại lớp sợi thần kinh quanh gai thị: hay gặp tổn hại lớp sợi thần kinh khu trú ở 1 vị trí nào đó hơn là tổn hại toàn bộ chu vi gai thị.
Tuy nhiên, những dấu hiệu trên không đặc hiệu choglôcôm nhãn áp không cao , không cho phép chẩn đoán xác định mà chỉ có giá trị gợi ý glôcôm nhãn áp không cao mà thôi.
4.5. Soi góc tiền phòng:
- các góc mở rộng.
4.6. Cận lâm sàng:
4.6.1. Tổn hại chức năng:
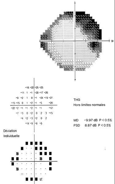
- Tổn hại thị trường: tổn hại thị trường khu trú, khi thì gặp tổn hại thị trường hình cung ½ trên, khi thì gặp ở ½ dưới, cung có khi cả trên và dưới.

4.6.2. Chiều dầy giác mạc:
- Chiều dầy giác mạc trung tâm hiện nay như là 1 yếu tố để đánh giá nhãn áp. Trong glôcôm nhãn áp không cao chiều dầy giác mạc trung tâm mỏng hơn bình thường, do đó nhãn áp thường bị đánh giá thấp hơn so với nhãn áp thực tế.
4.6.3. làm các xét nghiệm tim mạch:
Mục đích để tìm các yếu tố nguy cơ, trên thực tế người ta khuyên nên theo dõi huyết áp 24h, làm siêu âm mạch máu vùng cổ nếu như hỏi bệnh thấy có rối loạn mạch máu.
4.6.4. Chẩn đoán hình ảnh não:
Chụp scanner hoặc chụp cộng hưởng từ nếu không có sự tương xứng giữa tổn hại thị lực, thị trường và gai thị.
5. Chẩn đoán phân biệt:
5.1. Chẩn đoán phân biệt với những loại glôcôm khác:
- Phân biệt với glôcôm nhãn áp cao đã được điều trị: đã sử dụng các thuốc hạ nhãn áp như thuốc ức chế β, ức chế men chuyển…
- Với glôcôm nhãn áp thay đổi: là glôcôm góc mở do sự dao động lớn của nhãn áp. Khi đo vào lúc nhãn áp thấp dễ lầm tưởng với glôcôm nhãn áp không cao. Cần phải theo dõi chặt chẽ nhãn áp và lập đồ thị theo dõi nhãn áp trong ngày.
- Glôcôm nhãn áp cao đã được điều trị ổn định: trước đó đã từng có nhãn áp cao như glôcôm do cortison. Đặc điểm là thị trường ổn định.
5.2. Phân biệt với bệnh lý thị thần kinh không phải do glôcôm:
5.2.1. Tổn hại do chèn ép đường thị giác:
Một số teo thị thần kinh do thoái hóa sợi trục thần kinh cũng gây ra lõm gai như trong bệnh glôcôm, nhưng trong trường hợp này gai thị bạc màu (teo gai thị)
5.2.2. Bệnh thị thần kinh thiếu máu:
- lõm teo gai thị giống như trong bệnh glôcôm nhưng thị trường ổn định, không tiến triển.
6. Tiến triển và tiên lượng:
Tiến triển cũng như glôcôm nhãn áp cao. Nếu không được điều trị bệnh ngày càng tiến triển nặng lên, biểu hiện thị lực ngày càng giảm, thị trường ngày càng thu hẹp cuối cùng dẫn đến mù lòa không thể hồi phục được.
Hình thái thiếu máu tiến triển nhanh hơn,
Tiên lượng tồi nếu như có kèm với tắc tĩnh mạch trung tâm võng mạc.
8. Điều trị:
8.1. Đạt được nhãn áp đích: điều trị hạ nhãn áp đến khi bệnh không tiến triển nặng hơn, mức độ hạ nhãn áp khác nhau tùy thừng bệnh nhân. Tuy nhiên, mức độ hạ nhãn áo tối thiểu là 30% áp nhãn áp của bệnh nhân
8.2. Xác định những yếu tố nguy cơ mắc phải và kiểm soát chúng:
- Phát hiện cao huyết áp và điều trị cao huyết áp, không dùng thuốc co mạch.
- phát hiện huyết áp thấp.
Một số thuốc như thuốc ức chế men canxi, thuốc chống thiếu máu (nifedipine, Adalat) có tác dung dãn mạch cũng có tác dụng tăng cường dinh dưỡng thị thần kinh.
8.3. Thường xuyên theo dõi sự tiến triển của bệnh.
8.4. duy trì chất lượng cuộc sống.
9. Các phương pháp điều trị:
dùng thuốc, phẫu thuật, vật lý
Có thể dung được tất cả các loại thuốc hạ nhãn áp trừ thuốc ức chế beta không chon lọc do có tác dung gây co mạch. Prostagladine, laser vùng bè, phẫu thuật lỗ dò…
Chỉ định: không có chỉ định cụ thể, ưu tiên dung thuốc trước, chỉ phẫu thuật khi dùng thuốc thất bại.
BS.ThS Đỗ Hoàng Hà
Bệnh viện Mắt TW